본문 바로가기

Scroll Down

비뇨기내과


신장의 건강, 삶의 질을 지키는 핵심입니다.

신장 질환부터 비뇨기 응급 질환까지 전문 의료진이 체계적으로 진료합니다.

📍 리본동물의료센터 비뇨기 내과

신장과 비뇨기 질환은 반려동물의 삶의 질과 생존에 직접적인 영향을 미칩니다.
특히 만성 신부전, 요로 폐색, 결석, 방광염과 같은 질환은 조기 진단과 전문적인 치료가 무엇보다 중요합니다.

리본동물의료센터 신장·비뇨기 내과는 첨단 장비와 전문 의료진, 24시간 모니터링 시스템을 기반으로 급성·만성 신장 질환부터 비뇨기 응급 질환까지 체계적으로 진료합니다.

비뇨기 내과 전문 진료 분야

  • 신장 질환

    급성/만성 신부전, 사구체 질환, 유전성 신장질환

  • 요로 질환

    요관 결석, 방광염, 요로 폐색

  • 비뇨기 종양

    이행상피암 (TCC), 전립선 종양, 방광 종양 등

  • 투석 및 집중 치료

    고난도 신장 대체 요법 적용 가능

리본 비뇨기 내과의 강점

  • 정확한 진단 체계

    • 혈액검사, 요검사, 영상진단 (초음파, CT, MRI)
    • 방광 내시경 및 세포·조직검사
    • 영상 전공, 임상병리 전공 수의사 상주로 정밀하고 신속한 진단
  • 고난도 시술 및 치료

    • SUB (요관 우회 수술) 및 방광경 시술을 통한 비뇨기계 폐색 치료
    • 혈액 투석 장비 보유, 급성 신부전 환자의 생명을 지키는 신장 대체 요법 가능
    • 응급 수혈 시스템 구축 : 강아지·고양이 혈액 상시 보유
  • 24시간 집중 모니터링

    • 산소 공급 및 습도·온도 조절이 가능한 중환자실 운영
    • 무선 모니터링 시스템으로 환자의 활력 징후를 실시간 추적
    • 급성 악화 및 응급 상황에도 즉각적 대응 가능

Re:born ANIMAL MEDICAL CENTER

보호자와 함께하는 관리

신장·비뇨기 질환은 대부분 장기적인 관리가 필요합니다.

리본동물의료센터는 보호자와 긴밀히 소통하며 맞춤형 치료 계획을 세우고, 정기 추적검사와 생활습관 관리까지 함께합니다.
특히 만성 신부전 환자는 식이 조절, 약물치료, 정기 혈액검사 및 영상 검사를 통해 삶의 질을 최대한 유지할 수 있도록 돕습니다.

실제 치료사례

  • 만성 신부전 및 유전성 신장 질환 환자

    구토, 기력 저하, 식욕 절폐 등을 주증으로 내원. 혈액 검사상 심각한 수준의 azotemia(질소혈증)가 확인되었습니다.
    초음파 검사에서는 신장의 피질과 수질이 구분되지 않고, 실질 내 다수의 낭종이 있는 형태학적 변화가 확인되어 유전적 신장 기형 및 만성적인 신장 기능 저하가 있었던 것으로 의심되었습니다.

    요분석 결과, 신장 기능 저하를 유발할 결석이나 세균 감염은 확인되지 않았으며, 신장 기능 저하에 의한 단백뇨 소견이 확인되었습니다.
    무뇨/핍뇨 소견이 없어 우선 수액 처치와 단백뇨 및 고혈압 관련 약물 치료를 통해 신장 기능 개선 여부를 모니터링했습니다.

    현재 신장 수치가 양호하게 개선되고 있으며, 정기적인 신장 수치 모니터링 및 초음파 검사를 통해 꾸준히 관리할 예정입니다.

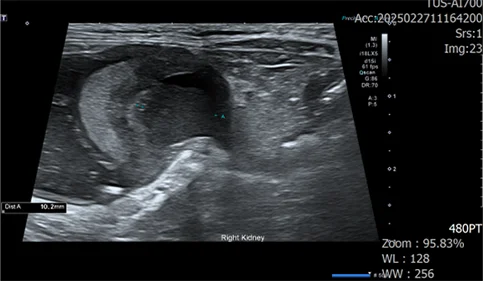
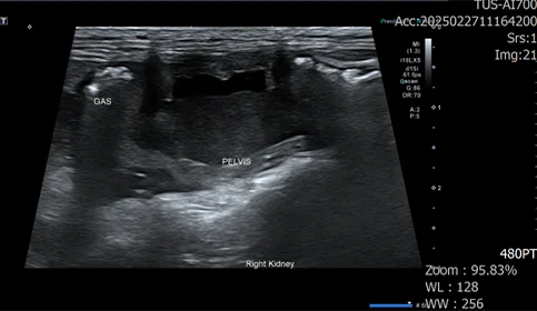
  • 세균성 신우신염 및 신장파열 환자

    식욕 부진과 체중 감소로 내원한 환자입니다.
    혈액 검사상 WBC 상승, 신장 수치 상승, 심각한 수준의 전해질 불균형이 확인되었습니다.


    우측 신장 주변부 가스, 복수, 신장의 형태 변화, 신우의 확장, 요관 확장 확인


    신우내 저류하는 액체 천자 진행, 점액성 농이 다수 확인


    도말 상 세균 확인


    정밀 검사 결과, 신장 주변 가스, 복수, 신장 파열이 확인되었습니다.
    세균성 신우신염으로 인한 신장 파열이 발생, 그로 인한 이차적인 복막염으로 진행되는 상태입니다.

    즉시 우측 신장절제 수술을 진행했으며, 입원 기간 동안 쇼크와 빈혈 등 수많은 응급 상황이 발생했으나 매 순간 적절한 처치와 항생제 치료를 통해 환자 상태가 호전되었습니다.
    15일 만에 신장 수치 정상화 후 무사히 퇴원했습니다.

Re:born ANIMAL MEDICAL CENTER

진료 예약 및 상담 안내