본문 바로가기

Scroll Down

외과소개


환자의 예후를 최우선으로 고려하여
환자별 맞춤형 수술 계획과 회복 관리 치료를 수립합니다.

노령, 중증, 희귀 질환까지 리본은 다릅니다.

  • THR 수술

    고난도 외과 수술
    리본에서는 가능합니다.

  • 환자 맞춤형 3D 프린팅

    환자 맞춤형 수술
    리본이라서 가능합니다.

  • 입원실

    수술 전&후
    24시간 모니터링

    리본만으로도 가능합니다.

리본의 핵심 가치 및 언론 보도

리본동물의료센터 외과 핵심역량, 고난도 중증 질환 특화(정밀 진단 & 수술 치료), 원스톱 협진시스템(진단-수술-회복까지 한 번에), 고난도 정형수술 특화(3D Printing 수술 인공관절 등), 첨단 외과 의술 도입(최소십습, 복강경, 흉강경, 척구경 등), 숙력된 외과팀
간종양 반려견, 복강경으로 간문절제 통한 간엽완전절제 성공, 24시 리본동물의료센터 외과팀, 복강경 간문절제를 통해 간엽완전절제 성공 [인터뷰] '환자를 위한 수술, 그게 제가 MIS를 하는 이유입니다' 김현호 리본동물의료센터 외과원장

영남권 최고 수준의 수술실 환경 및 장비

  • 감염 ZERO

    무균 양압수술실

    수술실 내의 공기압력을 높여 외부의 오염된 공기 유입을 차단하는 시스템입니다.
    수술실 내의 공기 또한 고성능 헤파필터를 거쳐 무균상태를 유지합니다.

    환자의 수술에서 감염에 대한 예방은 매우 중요합니다.
    고난도 수술일수록 이러한 기본 원칙들이 더 중요하게 고려 되어야 합니다.
    저희 리본동물의료센터는 인의급 무균양압 수술실을 도입하여 감염 확률을 확 낮췄습니다.

  • 고사양 마취기 도입

    전문의료진의 환자 모니터링 시스템

    모든 수술에서 안정적인 마취를 위해 인의급 고사양 마취기를 도입하였으며
    전문 의료진이 실시간으로 전담하여 환자를 모니터링 합니다.

전문 진료분야

  • 일반외과

    바로가기

    소화기계, 비뇨기계, 간담도계 뿐만 아니라 수술 전&후 모니터링이 중요한 내분비계 질환, 종양성 변화에 대한 수술을 진행하고 있습니다. 특히 영상의학과와의 협진을 통해 명확한 진단을 배경으로 환자 개개인에게 맞는 적절한 수술법을 선택하여 시행하며 수술 후에도 내과와 협진을 통해 회복과정까지 최선의 치료를 받을 수 있도록 노력합니다.

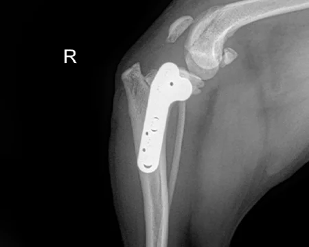
  • 정형외과

    바로가기

    환자의 파행에 대한 정확한 신체검사를 통해 불편한 다리를 진단하고 이에 맞는 치료를 진행합니다.
    골절, 십자인대 단열, 고관절 이형성 등 수술이 필요한 경우 가장 적합한 수술방법을 계획하여 적용하며 이를 통해 수술 후 확실한 치유가 가능하도록 최선을 다하고 있습니다. 특히 인공관절(THR)과 같은 고난도 수술을 인증받은 전공의가 직접 집도하여 가장 안전하고 최적의 치료 결과를 제공합니다.

  • 신경외과

    바로가기

    영남권 최초 대학병원급 3.0T MRI를 활용해 디스크 탈출, 뇌 질환, 척수 손상 등 다양한 신경 질환에 대해 빠르고 정밀하게 진단 후 외과 수술, 입원 치료, 재활치료까지 원내에서 직접 연계하여 진행합니다.

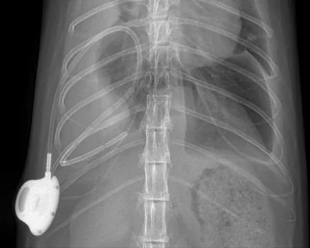
  • 흉부외과

    바로가기

    접근하기 힘든 심장, 폐, 주요 혈관을 포함한 흉강 내 질환에 대한 치료를 진행합니다. 특히 C-arm 투시영상장비, 기관내시경 등 첨단 장비를 통해 흉강 내부를 실시간으로 확인하며 정밀하고 안전한 수술이 가능합니다.

  • 최소침습수술

    바로가기

    최소침습수술은 조직 손상을 최소화하여 통증을 줄이고 회복을 빠르게 하는 첨단 수술 기법입니다. 수술 부위와 질환에 따라 복강경, 흉강경, 관절경, 척추내시경 등 다양한 접근을 적용하며 특히 기존에는 최소침습으로 어려웠던 거대 종양이나 고난도 수술까지 폭넓게 시행하여 보다 정밀하고 예후가 우수한 치료를 제공하고 있습니다.

  • 인터벤션

    바로가기

    다양한 첨단 영상장비를 이용하여 절개 없이 카테터와 특수 장비로 치료하는 것을 말하며 특히 혈관, 비강, 기관, 요관, 요도 협착 등 고난도 질환에 적용하여 최소한의 개입으로 질환의 치료가 가능합니다.

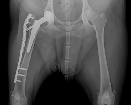
  • 인공관절

    바로가기

    인공고관절치환술은 다양한 고관절 질환으로 파행이 심하고 통증이 지속되는 경우 진행할 수 있고 THR(Total Hip Replacement)이라고 불리며 인증의 교육 코스를 이수한 수의사만 진행할 수 있는 고난도 수술입니다. THR은 해부학적 구조와 기능을 회복시켜, 고관절 질환을 가진 환자에서 정상에 가까운 보행과 활동성을 제공하여 새 삶을 살아갈 수 있게 해줄 수 있습니다.

Re:born ANIMAL MEDICAL CENTER

진료 예약 및 상담 안내