본문 바로가기

Scroll Down

신경외과


신경계 질환, 빠른 진단과 세밀한 수술이 핵심입니다.

마비, 발작, 디스크 질환까지 신경외과는 속도가 생명입니다!

📍신경외과 소개

신경 질환은 조기에 정확한 진단과 치료가 이루어지지 않으면 회복이 어렵고, 마비나 통증 등 돌이킬 수 없는 손상으로 이어질 수 있습니다.
리본동물영상센터와의 협진 시스템을 바탕으로 영남권 최초 대학병원급 3.0T MRI 촬영을 통해 빠르고 정밀한 진단을 제공합니다.

디스크 탈출, 뇌 질환, 척수 손상 등 다양한 신경 질환에 대해 진단 후 곧바로 외과 수술, 입원 치료, 재활까지 원내에서 연계하여 진행합니다.
신경 질환은 시간이 예후를 결정합니다. 신속하고 정확한 대응이 가능한 리본 신경외과에서 아이의 회복 가능성을 최대한으로 끌어올릴 수 있도록 도와드리겠습니다.

📍진료 항목

  1. 디스크 탈출증(IVDD) 및 척추 질환

    마비 증상을 보이는 디스크 탈출증(IVDD), 척추 골절 및 탈구 퇴행성 요추관 협착증(DLSS)에 대해 신속한 응급수술과 체계적인 회복 관리를 진행합니다.

  2. 두개강 내 질환 및 뇌 질환 치료

    뇌수두증에 대한 VP shunt 장착, 후두골 이형성(COMS), 뇌종양 수술 등 고난이도 신경외과 치료를 안전하게 수행합니다.

  3. 환축추 아탈구(AAI) 수술

    경추 1~2번의 불안정성이 확인 된 환자에서 가이드 제작 없이 신속하게 불안정성을 교정하여 추가 손상을 방지합니다.

부울경 최초 ‘양방향 척추내시경’ 도입
정밀하고 덜 아픈 척추 수술의 새로운 패러다임

양방향 척추 내시경 BESS, Biportal Endoscopic Spine Surgery

기존의 단일 포털 내시경(uniportal endoscopy)의 한계를 극복한
정밀한 양손 작업이 가능한 최소침습 기술입니다.

리본동물의료센터 2025년 1월부터 부울경 최초로 양방향 척추 내시경을 도입해왔으며, 영남권 최다 임상 case를 축적하고 있습니다.


양방형 척추 내시경 수술의 핵심 장점

  • 정밀한 수술 조작
  • 근육 인대 손상 최소화
  • 절개 최소화
  • 빠른 회복과 낮은 통증
  • 고배율 직시 시야 확보

양방형 척추 내시경 수술 전

양방형 척추 내시경 수술 후

양방형 척추 내시경 모식도

“정밀성 + 안정성 + 최소침습”

양방향 척추 내시경은 단순히 절개를 줄이는 것이 아닌, 환자의 삶의 질과 예후를 바꾸는 기술입니다.
흉강경 및 복강경을 포함한 다양한 최소침습 수술 영역에서 영남권 최다 case를 축적하고 있으며,
환자의 통증 경감, 회복 속도, 삶의 질 향상을 목표로 한 내실 있는 진료 시스템을 구축하고 있습니다.

📍 환축추 아탈구 AAI

마비로 기립 및 보행이 전혀 되지 않는 환자
수술 후 보조 장치 없이 보행 회복

MRI 판독부터 수술, 회복까지 원스톱으로 진행합니다.

📍 디스크 탈출증 IVDD

마비로 뒷다리를 전혀 움직이지 못한 환자
수술 후 보조 장치 없이 보행 회복

MRI 판독부터 수술, 회복까지 원스톱으로 진행합니다.

신경외과 수술 사례

디스크탈출증

ventral slot, hemilaminectomy

  • 경추 디스크 MRI
  • 경추 디스크
  • 흉요추 디스크 MRI
  • 흉요추 디스크
신경계종양(뇌&척수종양)

종양절제술

  • 뇌종양
  • 뇌종양
  • 뇌종양
  • 척수종양
후두골이형성증 (COMS)

FMD

  • 후두골이형성증
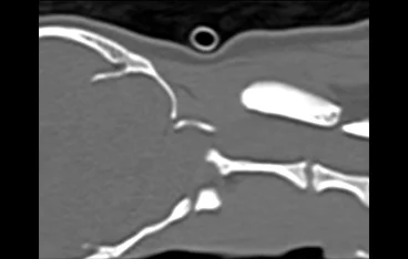
환축추아탈구(AAI)

AAI stabilization(screw + PMMA)

  • AAI
  • AAI
  • AAI

Re:born ANIMAL MEDICAL CENTER

진료 예약 및 상담 안내