본문 바로가기

Scroll Down

영상의학과


국내 최고 수준 3.0T 고자기장 MRI
보다 빠르게 보다 정확하게 진단합니다

MRI(자기공명영상, Magnetic Resonance Imaging)는 강한 자기장과 고주파를 이용해 동물의 몸속을 정밀하게
촬영하는 영상진단 장비입니다. X-ray나 CT와는 달리, 방사선을 사용하지 않으며, 조직의 밀도 차이를 매우 섬세하게 구분할 수 있어
뇌, 척수, 관절, 근육, 연부조직 등 일반 영상으로는 확인하기 어려운 부위까지 정밀하게 진단할 수 있습니다.

📍언제 MRI 검사가 필요한가요?

  • 발작, 경련, 의식 저하 등 신경학적 증상이 있는 경우
  • 다리 마비, 사지의 감각 이상, 균형 장애 등의 척수 질환이 의심되는 경우
  • 두부 외상, 두통, 안면 근육 이상 등 뇌 질환이 의심될 때
  • 관절이나 인대 손상, 특히 십자인대, 연골, 추간판 등 연부조직의 정확한 평가가 필요한 경우
  • 종양의 정밀 평가 및 수술 전 계획 수립이 필요한 경우
  • 다른 검사로는 명확한 진단이 어려울 때

📍MRI로 진단 가능한 질환

  • 뇌 질환

    수막뇌염, 허혈성경색, 출혈성경색, 뇌종양,
    후두골이형성 증후군, 대사성뇌병증

  • 척수 질환

    디스크 탈출증, 척수염, 허혈성척수병증,
    척수공동증, 척수종양, 척추 기형

  • 두개부 질환

    이도의 염증, 내이염, 중이염, 외이염,
    두개부 종양, 침샘류

  • 근골격계 질환

    인대의 염증, 인대 손상, 관절염, 근육 손상

  • 뇌혈관 조영술

    뇌혈관 이상 (손상/기형)

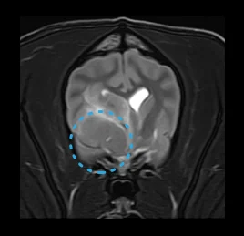
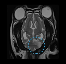
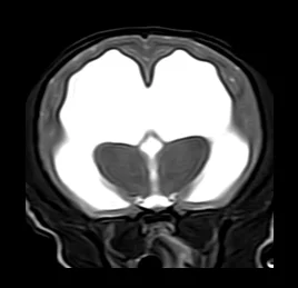
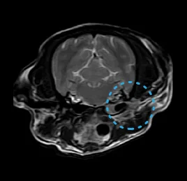
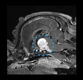
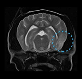
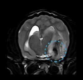
📍MRI 진단 케이스

  • 수막뇌염
  • 허혈성 소뇌경색
  • 이도 염증 - 내/중/외이염
  • 허혈성 척수병증
  • 척수공동증
  • 뇌수두증
  • 후두골 이형성 증후군
  • 디스크 탈출증
  • 뇌하수체 종양
  • 뇌종양
  • 뇌출혈
  • MRA- 뇌혈관 조영술

Re:born ANIMAL MEDICAL CENTER

진료 예약 및 상담 안내