본문 바로가기

Scroll Down

정형외과


건강한 움직임을 위한 맞춤형 정형외과 치료

정확한 진단과 수술, 그리고 회복까지 - 리본은 다릅니다!

📍정형외과 소개

반려동물의 관절과 뼈 건강은 삶의 질과 직결됩니다. 골절 및 관절 질환의 정밀 진단과 수술을 전문적으로 제공하며,
반려동물의 최상의 회복과 삶의 질 향상을 목표로 맞춤형 치료를 계획합니다.

📍진료 항목

  1. 골절 및 관절 질환 치료

    복합 골절, 슬개골 탈구(4기), 전십자인대파열, 다양한 관절 질환 (이형성, 탈구, 불안정성 등) 고난이도 정형외과 수술을 전문적으로 진행합니다.

  2. 관절경 및 3D 시뮬레이션

    관절 내시경과 3D 프린팅 기술을 활용하여 수술 전 정밀한 분석과 계획을 수립합니다. 해당 기술은 직접 개발 및 적용한 의료진이 주도합니다.

  3. 골절 환자 맞춤형 치료

    단순/복합 골절에 따라 내고정술, 외고정술(ESF) 등을 적용하며, 수술 후 재활까지 연계해 빠른 회복을 유도합니다

  4. 천장골 탈구(SI luxation) 최소침습 수술

    외상으로 인한 골반 비대칭 및 보행 장애를 최소 절개로 정복하여 회복 시간을 줄이고 통증을 최소화합니다.

  5. 단순한 교정을 넘어, 뼈 기형에 대한 근본적 접근

    단순 교정이 아닌, 기형의 원인과 해부학적 구조를 바탕으로 3D 정밀 분석 후 맞춤형 치료를 진행합니다.

정형외과 수술 사례

고관절 질환

THR, FHNO, Toggle pin

  • FHNO
  • FHNO 수술 전
    FHNO 수술 후
  • THR
  • THR 전
    THR 후
  • toggle pin
  • toggle pin 전
    toggle pin 후
슬개골탈구

TBR, TTT, 각기형 교정술

  • 슬개골탈구
  • 슬개골탈구 수술 전
    슬개골탈구 수술 후
  • 각기형(ALD)
  • 각기형(ALD) 수술 전
    각기형(ALD) 수술 후
십자인대파열

TPLO, Lateral fabellotibial suture

  • TPLO
  • TPLO 수술 전
    TPLO 수술 후
관절불안정

관절 고정술

  • 앞발목
  • 어깨탈구
  • 어깨탈구
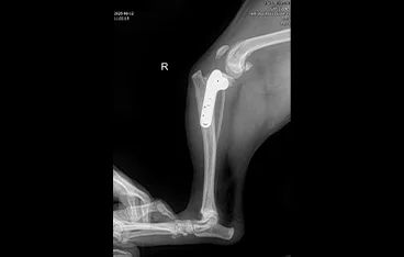
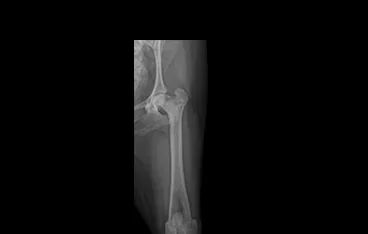
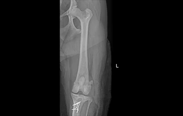
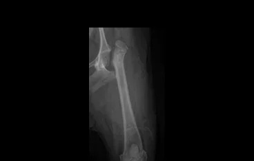
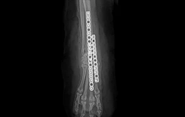
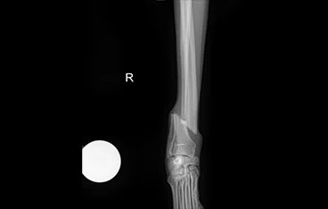
골절

골절 수복(screw, plate, k-wire, pin 등)

  • PLATE
  • PLATE 수술 전
    PLATE 수술 후
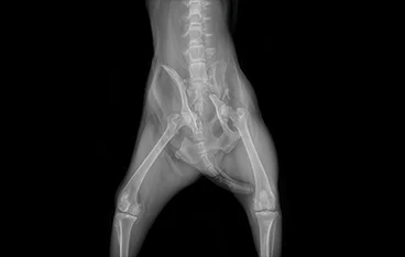
  • 골반골절
  • 골반골절 수술 전
    골반골절 수술 후
  • 복합골절
  • 최소침습 골절수술
  • 최소침습 골절수술
  • 최소침습 골절수술

Re:born ANIMAL MEDICAL CENTER

진료 예약 및 상담 안내