본문 바로가기

Scroll Down

흉부외과


작고 복잡한 흉강 안, 빠르고 정확한 개입이 생명을 지킵니다

부산·영남 최초의 고난도 흉부외과 전문 동물병원,리본동물의료센터는 최신 장비와 전문성으로 생명을 지켜냅니다.

📍흉부외과 소개

심장, 폐, 주요 혈관을 포함한 흉강 내 질환은 빠른 판단과 정밀한 기술이 생존율을 결정짓는 고난도 영역입니다.
리본동물의료센터 흉부외과는 선천적 심혈관계 이상부터 폐종양, 폐염전, 유미흉 등 생명을 위협하는 다양한 질환을 정밀 진단하고 수술합니다.
특히 C-arm 투시 영상, 기관내시경 등 첨단 장비를 활용해 보다 안전하고 효과적인 최소침습 수술을 시행하고 있습니다.

📍리본 흉부외과만의 특별한 강점

  • ✅ 부산·영남 최초의 고난도 흉부외과 전문 동물병원

    심장, 폐, 주요 혈관을 포함한 고위험 흉부 질환에 특화된 수술 역량을 보유하고 있으며, 중증 케이스를 다년간 다뤄온 임상 경험이 축적되어 있습니다.

  • ✅ 첨단 장비 기반의 최소침습 진단·치료 시스템

    C-arm 투시영상장비, 기관내시경, 비강경 장비 등을 활용해 흉강 내부를 실시간으로 확인하며 정밀하고 안전한 시술이 가능합니다.

  • ✅ 중증 흉부 질환 전용 수술 항목 운영

    심장사상충 제거술, 폐종양 및 폐염전 수술, 선천성 심혈관 질환 수술 등 생명을 위협하는 질환을 정교하게 다룹니다.

📍진료 항목

  1. 선천적 심혈관 수술

    태어날 때부터 혈관 구조에 이상이 있는 경우 수술로 혈류를 정상화하여 건강한 생활을 가능하게 합니다. (예: PDA, PRAA, 동맥관개존증, 우대동맥궁잔존)

  2. 폐종양 및 폐염전 수술

    폐에 발생한 종양이나 폐가 꼬이는 응급상황을 빠르게 진단하고 수술로 생명을 지켜냅니다.

  3. 심장사상충 제거술

    C-arm 투시 영상장비를 이용해 심장 내부에 기생하는 사상충을 정밀하게 제거합니다

  4. 심장종양 수술

    심장 주변에 종양이 생기면 흉수(가슴 속 물 고임) 등으로 인해 호흡이 곤란해질 수 있습니다. 종양이 크지 않다면 외과적으로 제거하거나 증상 완화를 위한 치료를 진행합니다.

  5. 흉강 내 종양 절제술

    가슴 안쪽 장기(심장, 폐, 림프절 등)에 발생한 종양은 초기 증상이 없어 발견이 늦을 수 있습니다. CT촬영을 통해 정확히 위치와 크기를 파악한 후 수술로 절제하고 회복까지 체계적으로 관리합니다.

  6. 유미흉 및 기관 질환 진단·치료

    가슴 속에 액체가 차는 유미흉, 기관허탈 등 호흡기 문제를 내시경 장비로 진단하고 최소침습적으로 치료합니다.

일반외과 수술 사례

유미흉

Thoracic duct ligation, pericardiectomy, cisterna chyli abalation

  • 유미흉(TDL+Pericardiectomy)
폐종양 & 폐염전

lung lobectomy (partial or complete)

  • 폐엽절제술

📍 PDA

PDA 전
PDA 후

정확한 진단과 수술로 삶의 질을 회복합니다

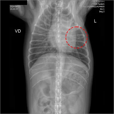
📍 폐엽절제

폐엽절제 전
폐엽절제 후

정확한 진단과 수술로 삶의 질을 회복합니다

📍 흉관장착

흉관장착 전
흉관장착 후

정확한 진단과 수술로 삶의 질을 회복합니다

Re:born ANIMAL MEDICAL CENTER

진료 예약 및 상담 안내