본문 바로가기

Scroll Down

영상의학과


보는 것이 아닌 읽는 기술 이 중요합니다
정확한 초음파 진단은 수의사의 스캔 실력에서 시작됩니다.

초음파 검사는 고주파 음파를 이용해 장기와 조직의 실시간 움직임을 영상으로 확인하는 비침습적 진단법입니다.
방사선 노출이 없고 마취 없이 시행할 수 있어 안전하면서도 즉각적인 진단이 가능한 검사입니다.
장기의 구조뿐 아니라 혈류, 운동성, 기능 변화까지 평가할 수 있어, 다양한 질환의 조기 발견과 모니터링에 효과적입니다.

📍언제 초음파 검사가 필요한가요?

  • 구토. 설사. 식욕부진. 체중감소 등 소화기 증상이 있을 때
  • 복부 팽만, 복통, 혈뇨, 배뇨 이상 등이 있을 때
  • 심잡음, 기침, 무기력 등 심장 질환이 의심될 때
  • 종양의 위치 파악 및 크기 모니터링이 필요할 때
  • 혈액검사 이상 수치의 원인을 찾기 위해
  • 임신 확인 및 태아 건강 확인 시

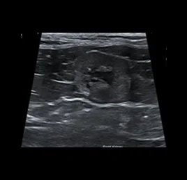
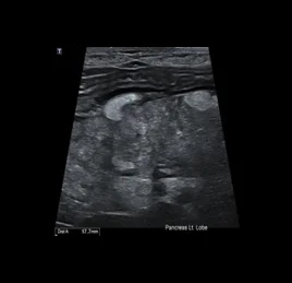
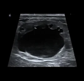
📍초음파 진단 케이스

  • 지방간
  • 담낭 점액종
  • 비장 종양
  • 수신증
  • 만성 신부전
  • 방광 결석
  • 부신 종양
  • 혈관 이상 - PSS
  • 췌장염
  • 췌장 농양
  • 위장관염
  • 소장 종양
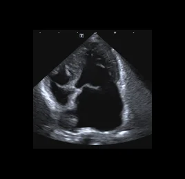
  • 퇴행성 판막질환
  • 퇴행성 판막질환
  • 동맥관 개존증 - PDA
  • 폐동맥고혈압

Re:born ANIMAL MEDICAL CENTER

진료 예약 및 상담 안내