본문 바로가기

Scroll Down

영상의학과


초고속 64채널 전산화단층촬영으로
미세 병변까지 놓치지 않고 정확히 확인합니다.

CT(전산화단층촬영, Computed Tomography)는 X-ray를 360도 방향으로 회전시켜 단면 영상을 얻는 정밀 영상검사입니다.
뼈, 폐, 내부 장기, 혈관 구조 등을 3차원적으로 확인할 수 있으며, 빠른 촬영 속도로 응급 상황에서도 유용하게 활용됩니다.

📍언제 CT 검사가 필요한가요?

  • 종양의 위치 및 전이 여부 평가가 필요할 때
  • 외상 후 골절, 출혈, 장기 손상 여부를 확인할 때
  • 코, 귀, 턱 등 두개부 구조물을 정밀하게 볼 때
  • 척추 및 관절의 뼈 구조 이상을 확인할 때
  • 호흡기, 폐 질환의 정밀 진단이 필요할 때

📍CT로 진단 가능한 질환

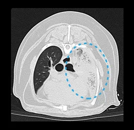
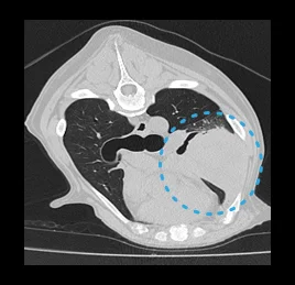
  • 흉부 질환

    폐 종양, 폐 염전, 원발 종양의 폐 전이 평가, 심장 종양,
    종격동 종양, 흉벽 종양

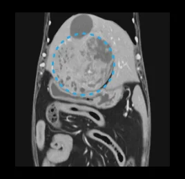
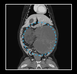
  • 복부 질환

    간 종양, 비장 종양, 신장 종양, 소장 종양,
    담낭, 신장, 방광의 결석

  • 두경부 질환

    이도의 염증, 중이염, 외이염, 두경부 종양,
    갑상선 질환, 침샘류, 비강 질환, 구강 질환

  • 근골격계 피부 질환

    각종 골절, 골종양, 피부 종양, 지방층염

  • 혈관 질환

    간문맥전신단락 (PSS), 혈전색전증, 동맥관개존 (PDA),
    우대동맥궁잔존 (PRAA)

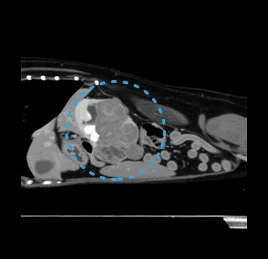
📍CT 진단 케이스

  • 간 종양
  • 비장 종양
  • 신장 종양
  • 폐 염전
  • 비강 종양
  • 폐 종양
  • 두개골 골절
  • 혈관 이상 - PSS

Re:born ANIMAL MEDICAL CENTER

진료 예약 및 상담 안내