[깅아지 눈 관통상] 안준영 안과치과원장, 깊은 안구 관통상 환자에서 시력 회복을 위한 수술적 접근
- 관리자
- 작성일2026.04.16
- 조회수5
깊은 안구 관통상 환자에서 시력 회복을 위한 수술적 접근
안구가 찔리거나 물려서 등 다양한 이유로 터져서 내원하는 경우가 있을 겁니다.
이는 인의에서는 Ocular penetrating injuries 즉 관통상으로 부르며, 이러한 손상은 개방성 안구 손상이 유발 되는 이므로 심각한 시력 상실 또는 안구 손상을 초래할 수 있습니다.
관통상은 정의상 날카로운 물체가 눈을 뚫은 후 뚫은 부위로 빠져나가 다른 출구가 없는 즉 열상에 의하여 발생하는 것을 말합니다.
반면 perforating injuries 라고 불리는 천공상은 물체가 눈을 통과하며 발생 때문에 입구상과 출구상이 모두 존재합니다.
일반적으로 perforating injuries로 간주되려면 각막 및/또는 공막을 관통하는 전층 손상이 있어야 합니다.
Penetrating 또는 perforating injuries는 날카롭거나 빠른 속도의 물체에 의한 손상으로 인해 발생할 수 있습니다.
Penetrating injuries는 개와 고양이에서 가장 흔하게 관찰됩니다.
이러한 손상은 고양이 발톱 손상이나 선인장과 같은 식물 이물질과 관련이 있는 경우가 많습니다.
Perforating injuries는 납 알갱이와 총알에 의하여 유발 되는 경우가 많습니다.
Penetrating injuries는 주로 호기심이 많은 어린 강아지에서 나타나게 되며, 얕은 안와를 가져 안구가 더 노출되는 단두종에서 잘 나타나는 경향이 있습니다.
Penetrating injuries는 손상 구역에 따라 세 구역으로 세분화 됩니다.
zone I 은 각막에서 변연부까지를 포함하며, zone II 는 변연부에서 변연부 5mm 뒤까지의 공막을 포함하며, 이는 해부학적으로 ora serrata 앞쪽에 위치하여 망막까지 확장되지 않습니다.
zone III 은 변연부 5mm 이상 떨어진 모든 손상을 말하며, 이는 ora serrata 뒤쪽의 해부학적 손상으로 망막을 포함합니다.
1. 진단
Penetrating injury 의심으로 환자가 내원하는 경우 여러가지 영역으로 나누어 평가 진단 되어야 합니다.
1) 우선적으로 병력(history)에 대한 평가가 진행되어야 합니다.
안구의 손상의 시기와 기전을 파악하기 위해 환자의 병력을 자세히 파악하는 것이 중요합니다.
또한 눈 이외의 다른 부위에 발생한 손상도 확인해야 합니다.
신체 검사 전에 환자가 어떻게 부상을 입게 되었는지, 어떤 물체가 부상을 유발했을 가능성이 있는지 등을 확인하는 것이 중요합니다.
또한, 보호자에게 환자가 이전에 시력 저하 history 또는 안과 수술 history가 있는지 확인하여야 합니다.
현재 복용 중인 약물, 알레르기, 마지막 식사 시간 등 관련 history는 진단 및 치료에 도움이 될 수 있습니다.
2) 다음은 징후(symptoms)에 대한 평가 입니다.
penetrating or perforating injury는 일반적으로 통증, 시력 저하 또는 상실을 호소합니다.
경미한 손상의 경우 이물감이나 시야 흐림과 같은 경미한 증상이 나타날 수 있습니다.
3) 다음은 증상(signs)입니다.
세극등 현미경 검사상 결막하 출혈, 얕거나 평평한 전방안방, 매우 깊은 전방안방, 뾰족한 동공, 각막 또는 공막 단절, 전방출혈, 홍채 변형, 포도막 탈출, 수정체 파열, 유리체 출혈, 망막 열공 또는 망막 출혈과 같은 후방 안구 소견은 외상이 의심되는 환자에게서 관찰될 경우 회복에 우려될 수 있는 증상입니다.
.png)
사진 1. 고양이 발톱에 의한 penetrating injury. 결막의 중등도의 충혈 및 부종 확인되며, 천공부위는 fibrin으로 일시적으로 막힘. 천공 부위 주변부 각막의 부종 확인됨. 전안방은 fibrin 및 출혈괴 확인됨. 안방수의 흐림정도는 매우 심하였으며, 홍채는 각막 열린 부분으로 부분 전방 유착 확인됨.
4) 다음으로 신체 검사(Physical examination)를 진행합니다.
심각한 외상 후 안과 검사는 흥분이라던지 보정에 의한 압박에 의하여 일시적으로 막힌 각막이 다시 열릴 수 있으므로 조심히 진행해야 합니다.
시력 검사와 동공 검사가 가장 중요한 확인 요소일 수 있지만, 안압 측정은 안구에 압력을 가하고 안구 내용물의 유출을 초래할 수 있으므로 많은 주의를 필요로 합니다.
명백한 외상은 안구를 조심스럽게 다루어야 하며, 안구 개방이 의심되는 경우 안구에 압력이 가해지지 않도록 주의해야 합니다.
강제 외전, 우각 검사 등 안구에 직접적인 압력이 가하는 일반적인 검사 방법은 금기입니다.
또한, 명백한 관통상이나 천공성 손상의 경우 보존제가 들어있는 점안액 사용 및 소독을 피해야 합니다.
안와부속기는 안와연을 조심스럽게 촉진하여 주의 깊게 검사해야 합니다.
외안근 검사 및 외부 검사가 완료된 후, 관통상 또는 천공성 손상이 의심되는 경우 결막 및 전방 안구 검사를 철저히 실시해야 합니다.
이후 동공을 통해 시야가 확보되는 한 안구 내 손상을 확인하기 위해 후안부 검사를 시행해야 합니다.
전층 각막 열상은 전방에서 안방수 누출을 유발하는 경우가 많습니다.
의심되는 각막 상처에 플루오레세인 염료를 도포하는 것을 'seidel test 검사'라고 하며, 전층 열상이 명확하지 않은 경우 이를 평가하는 데 사용할 수 있습니다.
이러한 경우, 코발트 블루 조명 하에서 플루오레세인 염료는 상처에서 누출되는 안방수에 의해 흘러내리게 되어 전층 상처의 존재를 확인할 수 있습니다.
플루오레세인 염료가 세척되면 상처는 'seidel test 양성'으로 간주되며, 상처에서 안방수가 나오지 않으면 'seidel test 음성'으로 간주됩니다.
다만 각막의 전층상처부위가 작은 경우 fibri에 의하여 막혀 음성으로 평가 될 수 있습니다.
공막과 결막에서도 유사한 검사를 시행할 수 있지만, 유리체가 공막 상처를 막아 seidel test 검사 양성률이 낮아질 수 있습니다.
또한 손상이 만성적이거나 기질 세포 침윤, 기질 소실, 각막 연화증 등 감염의 임상적 징후가 나타나는 경우, 각막 세포학적 검사와 호기성 세균 및 진균 배양 검사를 고려해야 합니다.
5) 영상적 검사는 필요한 경우 진행하게 됩니다.
안와 컴퓨터 단층촬영(CT)은 안구 내 이물질을 평가하기 위해 시행되며, 특히 유리체와 망막의 시야가 좋지 않은 경우에 시행합니다.
안구 내 이물질을 배제하기 위해 axial, coronal, 과 sagittal planes에서 1mm 두께의 얇은 CT cuts을 하는 것이 중요합니다.
하지만 CT는 안구내 이물질 진단률은 40% 정도 됩니다.
직접 시야 확보가 불가능한 경우, 조심스럽게 초음파를 사용하여 안구를 평가할 수 있지만, 초음파 장치의 압력으로 인해 안구 내 내용물이 배출될 수 있으므로 매우 주의해야 합니다.
초음파 검사는 안내 출철 등으로 인해 후방 검사가 불가능한 경우 도움이 될 수 있으며, 망막 박리 및 안구 내 이물질 진단에 100% 양성 예측도를 갖는 것으로 나타났습니다.
안구 내 이물질이 의심되는 경우 자기공명영상(MRI)은 금기입니다.
또한 이물질이 남아있지 않더라도 안구에 손상을 준 물질이 금속 물체가 관련되어 있다고 생각되는 경우에도 MRI 검사는 금기시 됩니다.
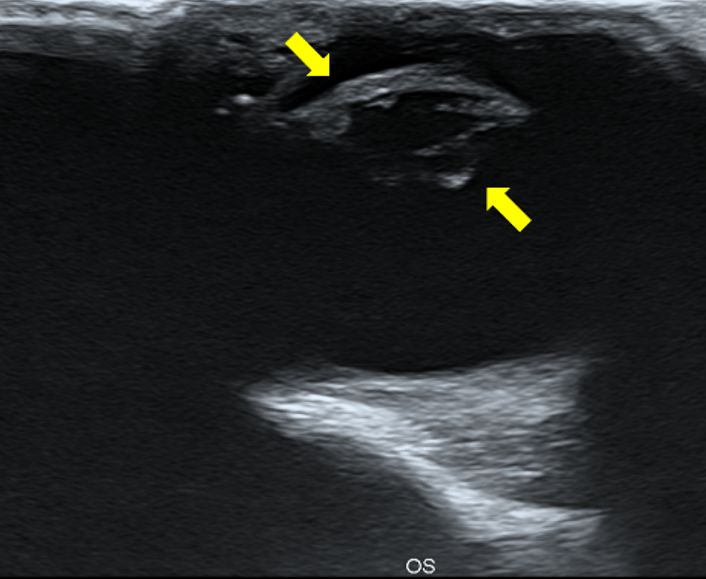
.png)
사진2. 초음파 검사를 통한 penetrating injury 검사. 검사 시 안구가 압박 되지 않도록 하며 또한 흥분으로 인하여 일시적으로 각막이 fibrin에 의하여 막힌 부위가 터지지 않도록 주의하여야 한다.
2. 치료
일반적인 치료는 관통성 또는 천공성 손상은 즉시 평가하고 치료해야 합니다.손상을 유발한 물질과 진입 위치에 따라 심각한 시력 손실이 발생할 수 있습니다.
손상 후 초기 시력, 안구 파열, 안내염, 안구 관통, 망막 박리 유무, 홍채 손상 정도를 기준으로 시력 회복 가능성을 판단 합니다.
손상을 일으킨 원인체 및 손상 정도에 따라 안내염 위험을 평가해야 하며, 그람 양성균과 음성균 모두에 효과가 있는 전신, 국소 및/또는 유리체 내 광범위 항생제를 사용하여 예방적으로 투여해야 합니다.
수술적 치료 후 예방적으로 유리체 내 항생제를 투여시 안내염 위험을 감소시키는 것으로 나타났습니다.
홍채 유착 또는 통증을 완화 하기 위하여 Atropine 같은 산동제을 점안 하는 것이 추천되며, 염증 관리를 위하여 전신 스테로이드나 엔세이드 처방을 필요로 하며, 필요한 경우 안약으로도 점안 합니다.
수술이 필요한 경우에는 우선적으로 마취시 진정을 위해 고용량 케타민을 사용하거나 마비를 위해 숙시닐콜린을 사용하지 않도록 주의해야 합니다.
이러한 약물은 안압을 상승시키기 때문에 안구 내 내용물이 배출 될 수 있습니다.
가능한 경우, 손상 후 24시간 이내에 신속한 수술적 복구 계획을 세우는 것이 매우 중요합니다.
24시간 이후 수술이 진행 되는 경우 안내염 위험이 더 높아집니다.
그러나 24시간 이내에 수술을 시행하는 것은 시력 결과와 관련은 없습니다.
관통성 또는 천공성 안구 외상이 의심되는 경우, 안구 내 이물질이나 망막 박리를 동반한 유리체 출혈이 있는 경우 유리체 절제술을 시행할 수 있습니다.
관통성 또는 천공성 안구 외상이 확진된 경우, 전방 안구 구조에 초점을 맞춰 개방된 안구를 신속히 폐쇄하고, 안구 전체를 외상 전 상태로 복원하기 위한 모든 노력을 기울이는 것이 권장됩니다.
각막 및 공막 상처를 복구할 때는 추가적인 의인성 손상 없이 포도막과 망막 조직이 제자리에 있도록 하는 것이 매우 중요합니다.
안검 손상이 동반된 경우 안검 수복은 안구 압박이 있을 수 있는 경우, 안구 수술 후 진행하는 것이 좋습니다.
.png)
.png)
사진3. 수정체 파열까지 진행된 환자에서 수술적인 교정. 수정체 파열이 심한 경우에 수정체 물질에 의한 추가적인 염증 반응 및 감염으로 인한 지연 감염 증후근(SIS)이 발생할 수 있으므로 수술적인 교정이 필요함.
안구 관통상 또는 천공상 손상 후 최종 시력 예후를 예측하는 데 사용할 수 있는 초기 내원 시 여러 위험 요인이 있습니다. 현재까지 가장 예측 가능한 예후 요인은 내원 시 초기 시력, zone 3 손상, 각막 수술 병력, 손상 후 경과 시간, 망막 박리 및/또는 유리체 출혈 유무, 수정체 탈구 여부입니다.
각막에 작은 손상만 있거나 수정체 전낭의 2mm미만의 손상만 있는 경우 수술 없이 항생, 소염처치 만을 통하여 회복할 수 있습니다.
그 이상의 수정체 손상이 있는 경우 예후는 다양 할 수 있으며 앞서 설명드린 내용들을 같이 평가하여 손상 유형에 따라 시력 회복 정도와 향후 선택 사항에 대해 환자에게 명확하게 설명하는 것이 중요합니다.
따라서 시력 회복이 어려우며, 통증이 심한 눈일 경우, 추가적인 문제를 예방하기 위해 적출술이나 적출술을 고려해야 합니다.
제대로 된 치료가 이루어지지 않거나 수술이나 치료 후에도 염증, 감염이 잡히지 않는 경우 망막 박리, 안내염, septic implantation syndrome, 속발성 녹내장 등이 발생할 수 있습니다.
.png)
사진4. 이전 시력 소실, 안압 상승 확인되었으나 수술적 교정 후 이상 증상 없음. 수술 후 5개월 세극등 현미경 사진 (좌). 초음파 검사상 후안부 등 안구 조물에 이상 확인되지 않음 (우).
Re:born ANIMAL MEDICAL CENTER