고양이 구토·식욕부진의 원인, 급성 신손상(Acute Kidney Injury, AKI)
- 관리자
- 작성일2026.01.22
- 조회수199
고양이의 반복적인 구토와 식욕부진은 급성 신손상(AKI), 위장관 질환, 전신 질환의 신호일 수 있습니다.
리본동물의료센터는 24시간 진료 체계에서 정확한 검사와 내과 분과 진료를 통해 원인을 평가합니다.
[본문 한 눈에 보기]
✅ 식욕 저하, 무기력, 구토 증상으로 내원한 노령 고양이에서 중증 질소혈증과 탈수가 확인되었습니다.
✅ 혈액검사, 뇨검사, 영상검사를 종합하여 급성 신손상(AKI)으로 진단하였습니다.
✅ 본원에서 입원 정맥 수액 치료와 전해질·요독 관리, 항구토 및 위장관 보호 치료를 시행하였으며 신장 수치와 전신 상태가 점진적으로 호전되었습니다.
13세 중성화 암컷 코리안숏헤어 환자는 최근 갑작스러운 식욕 저하와 무기력, 간헐적인 구토를 보이며 내원하였습니다.
고양이에서 구토와 식욕부진이 갑작스럽게 나타날 경우 탈수, 신장 기능 저하, 전신 질환 가능성을 함께 고려해야 합니다.보호자 문진과 신체검사 소견을 바탕으로 급성 전신 상태 악화의 원인을 평가하기 위한 검사를 진행하였습니다.
신체검사 : 6-7 % 탈수 소견
혈액검사: BUN 151, Crea 9.4 로 심한 질소혈증 확인되었습니다.
뇨검사: USG 1.015, UPC 0.12, 도말상 감염의 소견은 확인되지 않았습니다.
.png)
.png)
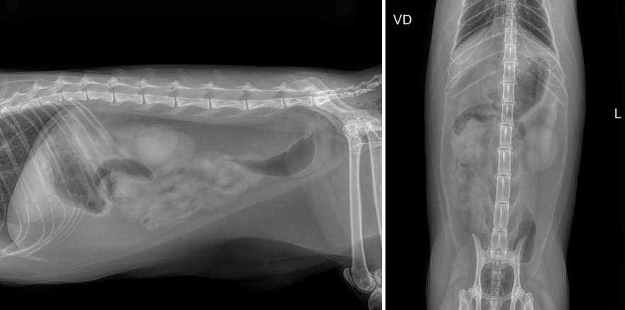
x-ray 검사상 특이소견은 확인되지 않았습니다.
.png)
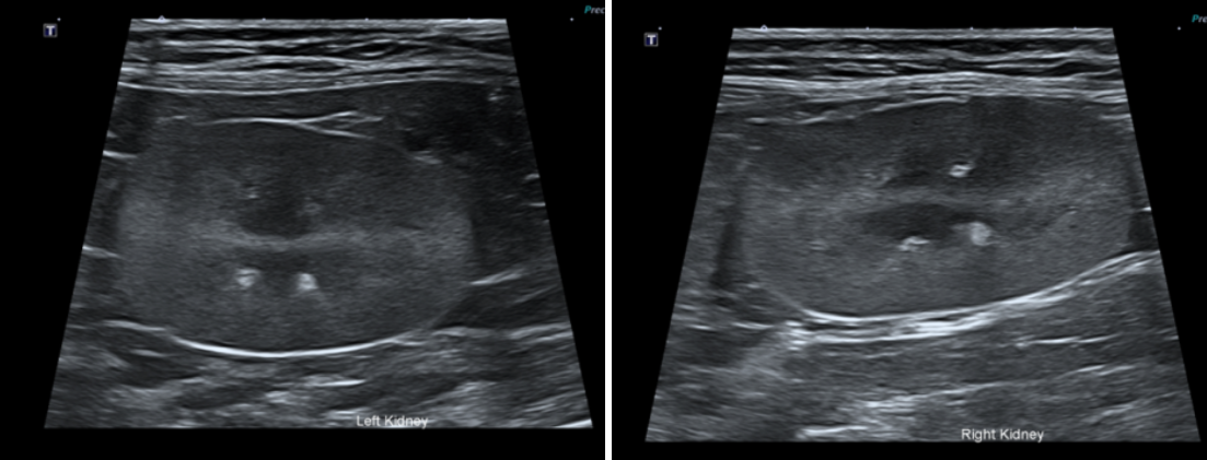
양측 신장의 퇴행성 변화 관찰되며, 신우확장 및 비뇨기 폐색 소견은 확인되지 않았습니다.
혈액검사상 급격한 신장수치 상승, 영상에서 확인되는 신장 실질의 변화와 급작스럽게 발현된 임상증상을 종합하여 본 환자는 급성 신손상(Acute Kidney Injury, AKI) 상태로 판단하였습니다.
입원 초기 치료의 목표는 다음과 같았습니다:
탈수 교정 및 신장 관류 회복
요독 물질 감소
전해질·산염기 불균형 교정
추가적인 신장 손상 예방
항구토 및 위장관보호 처치
이를 위해 정맥 수액 치료를 중심으로 치료를 시작하였고, 구토 조절을 위한 항구토제, 위장관 보호제를 병행하였습니다.
신장수치 및 전해질 불균형 매일 모니터링 진행하였으며, 과도한 수액으로 인한 부작용을 주의 깊게 관찰하였습니다.
.png)
입원치료를 시작함과 동시에 Cr과 BUN 수치의 점진적인 감소가 확인되었고 식욕도 서서히 회복되어 자발적인 섭식이 가능해졌습니다.
입원 기간 동안 원활한 배뇨 확인되어 환자는 무사히 보호자의 품으로 돌아가게 되었습니다.
고양이의 급성 신손상(AKI)란?
급성신손상(Acute kidney injury)는 짧은 시간 내에 신장 기능이 급격히 저하되는 상태를 의미합니다.
정상적으로 노폐물을 배출하고 체액 및 전해질 균형을 유지해야 할 신장이 갑자기 기능을 잃으면서, 혈액 내 질소 노폐물(BUN, Creatinine)이 빠르게 상승하고 전신 증상이 동반됩니다.
주요 임상 증상으로는 식욕부진, 구토, 무기력, 음수·배뇨 변화, 탈수 등이 있으며 진행 시 요독증으로 인한 전신 증상이 심화될 수 있습니다.
노령 고양이에서는 탈수, 약물, 저혈압, 감염, 요로 폐색, 패혈증 등 다양한 원인에 의해 발생할 수 있으며 특히 노령 고양이에서는 비교적 경미한 스트레스에도 AKI 가 촉발될 수 있습니다.
적절한 치료 시 회복 가능성이 존재한다는 점에서 만성 신부전과 구분되지만 회복 이후에 영구적인 신장 손상이 남을 수 있습니다.
[IRIS AKI grading]
AKI 의 중증도 평가는 IRIS라고 하는반려동물의 신장 질환에 대한 국제적인 수의학 전문가 협의체가 제시하는 가이드라인데 따라 이루어지는데 주로 Creatinine 수치 변화와 임상 경과를 기반으로 이루어지게 됩니다.
여기에 더해, 요량(무뇨, 핍뇨의 여부), 전해질 이상(특히 고칼륨혈증), 산증 여부 가 예후 평가에 중요한 요소로 작용하게 됩니다.
다만 AKI grade 는 고정된 단계가 아니고, 입원 중 수액 반응성, 요량, 신장수치의 변화 양상 등을 종합하여 치료반응과 예후를 평가하게 됩니다.
AKI 이후, CKD로 진행될 수 있나요?
환자의 경우 AKI grade5 의 상태로 병원에 내원하였으나 입원 치료 이후에 혈액검사상 신장수치가 빠르게 호전될 수 있었습니다.
그렇지만 중요한 점 하나는 혈액검사상 신장수치가 좋아졌다고 해서 신장이 완전히 정상으로 돌아갔다고 말할 수는 없습니다.
AKI 는 단순히 일시적으로 수치만 나빠졌다가 회복되는 병이 아니라 신장에 실제 손상을 남길 수 있는 사건입니다.
급성으로 신장이 손상되면 기능은 어느 정도 회복될 수 있지만 신장 조직의 일부는 영구적인 손상으로 남을 수 있습니다.
실제 여러 연구에서 AKI 를 겪은 고양이의 약 30-60 %에서 수개월-1년 이내에 만성 신장질환으로 진행될 수 있음이 보고되어 있습니다.
.png)
AKI 이후, 꼭 필요한 관리와 모니터링
AKI 에서 회복한 아이에게 가장 중요한 것은 ‘지금 괜찮은지’ 보다 ‘앞으로 신장이 더이상 나빠지지 않도록 관리하는것’ 입니다.
이를 위해서 1-3개월 간격으로 정기적인 혈액검사, 소변검사, 혈압측정 등 추적 검사가 권장되며 이후 안정적일 경우 상태에 따라 검진 간격을 조절 할 수 있습니다.
급성 신손상(AKI)는 치료에 잘 반응하면 회복될 수 있는 질환이지만 동시에 만성 신장질환으로 이어질 수 있는 중요한 분기점이기도 합니다.
아이가 다시 예전처럼 잘 먹고 활발해 보이더라도 정기적인 검진과 모니터링을 통해 신장의 변화를 조기에 발견하는 것이 아이의 삶의 질과수명을 지키는 가장 확실한 방법입니다.
Re:born ANIMAL MEDICAL CENTER