강아지가 밥 거부하고 구토한다면? 강아지 급성 췌장염의 신호일 수 있습니다
- 관리자
- 작성일2026.03.23
- 조회수204
.png)
병명(질환명)
급성 췌장염 (Acute Pancreatitis)
증상
구토, 설사, 식욕부진, 고열, 복부 통증, 탈수
치료명(치료법)
입원 치료, 조기 수액 치료, 위장관 보호제, 항구토제, 진통제, 저지방 식이 및 영양 관리, CRP·QPL 수치 모니터링, 통원 경과 관찰
경과
5일 정도 입원 후 수치 감소, 구토·설사 없음, 정상 체온과 식이반응 확인 후 퇴원
[본문 한 눈에 보기]
✅ 10살 강아지가 설날 음식 섭취 이후 구토, 설사, 식욕부진을 보여 내원했으며 고열·복통·탈수 소견도 함께 확인되었습니다.✅ 혈액검사에서 CRP와 QPL 상승이 확인되었고 복부초음파에서 췌장 비후와 주변 변화 및 복수 소견이 보여 급성 췌장염으로 진단 후 입원 치료를 진행했습니다.
✅ 리본동물의료센터에서 5일간 수액 및 보조치료와 혈액검사 모니터링을 시행한 뒤 증상과 수치가 호전되어 퇴원하였고, 이후 통원 치료로 경과를 확인했습니다.
10살 강아지 환자 는 구토, 설사, 식욕부진을 주증으로 리본동물의료센터에 내원하였습니다.
보호자님께서는 연휴에 설날 음식을 먹은 이후로 증상이 나타났다고 말씀하셨습니다.
진단 과정
신체검사
내원당시 환자는 체온 39.6도로 고열을 보였으며, 복부 촉진시 뚜렷한 통증 반응이 확인되었습니다.
또한 구토로 인한 탈수 증상이 심한 상태였습니다.
혈액검사
혈액검사상에서 CRP(급성염증수치), QPL(췌장특이검사) 상승 확인되었습니다.
.png)
그림 1. 혈액검사 결과
복부초음파
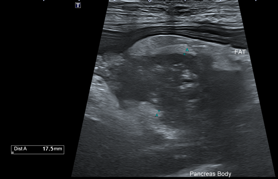
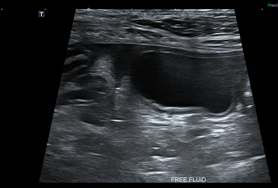
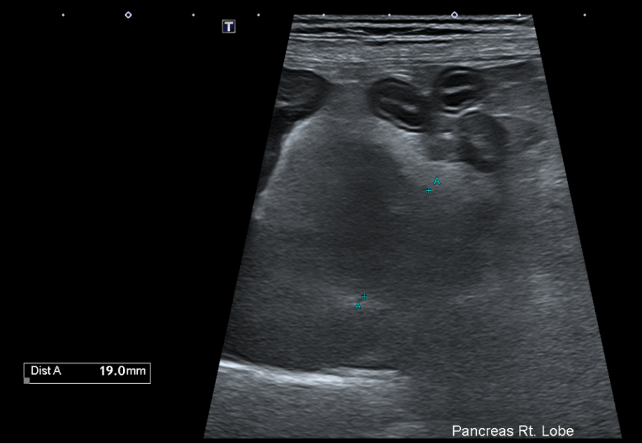
또한 복부 초음파상에서 뚜렷한 췌장 비후, 저에코성 음영, 주변 복막의 고에코성 소견 -> 확인되어 췌장염이 강력 의심되는 상황이었습니다.
.png)
.png)
.png)
.png)
Figure 2. 췌장 비후와 주변 복수 확인됨.
환자의 경우 뚜렷한 소화기 증상, 뚜렷한 염증 소견과 QPL 수치 상승, 복부초음파상 췌장염 비후, 복수 소견 확인되어 췌장염으로 진단되었습니다.
급성 췌장염 (Acute Pancreatitis) 이란?
.png)
개에서 흔하게 발생하는 소화기 질환 중 하나로, 췌장 내에서 소화효소가 비정상적으로 활성화되면서 발생하는 염증성 질환입니다.
정상적인 경우 소화효소는 장 내에서 활성화되어 음식물을 소화하지만, 급성 췌장염에서는 이러한 소화효소가 췌장 내부에서 먼저 활성화되면서 췌장 조직을 스스로 소화하는 자가소화(auto-digestion)가 발생하게 됩니다.
이 과정에서 염증 반응이 시작되며, 조직 괴사로 진행할 수 있습니다.
활성화된 효소가 췌장 외부로 유출될 경우 모세혈관의 투과성이 증가하고 미세순환 장애가 발생하게 됩니다.
다양한 염증성 매개체가 전신으로 퍼지면서 전신 염증 반응(Systemic Inflammatory Response Syndrome, SIRS)을 유발할 수 있으며, 심한 경우 다발성 장기부전(Multiple Organ Dysfunction Syndrome, MODS)으로 이어질 수 있는 위험한 질환입니다.
급성 췌장염은 임상 증상이 비교적 뚜렷하게 나타나는 경우가 많아 만성 췌장염에 비해 진단이 용이한 편입니다.
급성 췌장염의 원인은 무엇인가요?
급성 췌장염의 정확한 원인은 명확히 밝혀지지 않은 경우가 많지만 다음과 같은 요인들이 위험인자로 알려져 있습니다.- 고지방 식이 섭취
- 비만
또한 췌장염은 단독으로 발생하기보다는 기저 질환과 동반되는 경우가 많기 때문에, 진단 시 이러한 질환에 대한 평가가 반드시 필요하며 결과에 따라 기저 질환에 대한 관리가 병행되어야 합니다.
급성 췌장염의 임상 증상
- 무기력
- 식욕저하
- 구토
- 설사
- 발열
- 복부 통증
특히 복통으로 인해 앞다리를 앞으로 뻗고 가슴을 바닥에 붙이는 기도 자세(Prayer Position)를 보이는 경우가 있으며, 탈수, 발열, 황달 등의 소견이 함께 관찰될 수 있습니다.
급성 췌장염은 어떻게 진단하나요?
혈액 검사
CBC 및 혈청화학검사는 필수적으로 시행되며 다음과 같은 이상 소견이 확인될 수 있습니다.- 간수치 상승 (ALT, AST, ALP)
- 고빌리루빈혈증 (Hyperbilirubinemia)
- 고중성지방혈증 (Hypertriglyceridemia)
- 고콜레스테롤혈증 (Hypercholesterolemia)
- 저알부민혈증 (Hypoalbuminemia)
또한 급성 염증 반응을 반영하는 CRP 수치와 췌장 특이 검사인 canine Pancreatic Lipase (cPL) 검사가 필요합니다.
복부 초음파 검사
복부 초음파 검사는 췌장염 진단에 매우 유용한 검사입니다.- 췌장의 비대
- 췌장 주변 지방의 에코 변화
- 췌장 주변 Fluid 축적
다만 초음파 검사에서 정상 소견이 확인되더라도 췌장염을 완전히 배제할 수는 없으며, 영상 소견은 실제 질병의 진행보다 지연되어 나타날 수 있습니다.
하지만 복부 초음파를 통해 췌장 주변의 국소적인 합병증 (예: Extrahepatic Bile Duct Obstruction, EHBO)을 평가하는 데 매우 유용합니다.
급성 췌장염의 치료는 어떻게 하나요?
급성 췌장염의 치료에서 가장 중요한 것은 조기 수액 치료입니다.적절한 수액 요법을 통해 췌장의 관류를 유지하고 미세순환 장애를 최소화하는 것이 치료의 핵심입니다.
대부분의 경우 다음과 같은 보조적인 치료가 병행됩니다.
- 위장관 보호제
- 항구토제
- 진통제
또한 일반적으로 저지방 식이가 권장되며, 환자의 상태에 따라 영양 관리가 필요할 수 있습니다.
치료 과정
환자는 입원 진행하여 수액 처치를 비롯한 보조적인 치료가 병행되었습니다.5일 정도 입원 진행하면서 CRP 수치와 QPL 수치 감소 확인되었습니다.
또한 구토와 설사 등의 소화기 증상 확인되지 않으며, 정상 체온과 식이반응 확인되어 퇴원 진행하였습니다.
.png)
Figure 3. 입원 중 혈액검사 모니터링.
환자의 경우 입원 진행하면서 cpr, qpl수치의 원활한 감소 확인되었습니다.
이후 통원 치료로 전환하여 crp 수치 모니터링과 가정내에서 임상 증상 확인 안내드렸으며 이후 내원 당시 crp 수치의 뚜렷한 감소 확인되었습니다.
Re:born ANIMAL MEDICAL CENTER