[강아지 혀 부음] 이도희 내과과장, JAAHA 논문 게재 | 강아지 설농양 동반 대설증 증례 보고
- 관리자
- 작성일2026.04.10
- 조회수55
.png)
■ 병명
설농양(lingual abscess) 동반 대설증(macroglossia)
■ 종
개 (프렌치불독, 9세, 중성화 수컷)
■ 증상
- 갑작스럽게 시작된 심한 혀 부종
- 식욕부진
- 혀가 단단하게 부어 입 밖으로 돌출된 상태
- 혀 아래 점막 충혈 및 상처 의심 소견
■ 치료명(치료법)
- 병변 부위 흡인(aspiration)
- 항생제 치료
- 항염증 치료(steroid 포함)
- 수액 치료
=> 수술 없이 내과적 치료로 진행
[본문 한 눈에 보기]
✅ 급성 혀 부종과 식욕부진으로 내원한 9세 프렌치불독에서 혀가 단단하게 붓고 입 밖으로 돌출된 증상이 확인되었습니다.
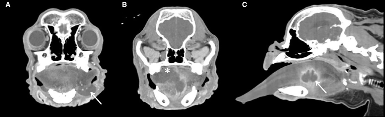
✅ CT와 흡인·세포검사·배양검사를 통해 설농양 동반 대설증으로 진단하였고 수술 없이 항생제·항염증제 중심의 내과적 치료를 진행했습니다.
✅ CT로 병변의 위치와 범위를 확인해 치료 방향을 잡았으며 환자는 3일째 혀 크기가 정상화되고 22일 후 치료 종료 후 재발 없이 회복했습니다.
강아지 혀가 갑자기 크게 붓는다면 보호자님 입장에서는 매우 걱정스러운 상황일 수 있습니다.
입을 제대로 다물지 못하거나 침을 많이 흘리고 식사를 하지 못하는 모습이 함께 보인다면 주목해주세요!
부산 동래에 위치한 24시간 진료하는 리본동물의료센터의 이도희 내과과장님이 참여한 논문이 국제 수의학 학술지 JAAHA(Journal of the American Animal Hospital Association)에 개제되었습니다.
이 논문에서 위 증상을 보인 강아지의 증례를 다루었습니다.
논문 제목은 “Successful Medical Management of Severe Macroglossia Associated With Lingual Abscess in a Dog”로 강아지의 심한 대설증(macroglossia)과 설농양(lingual abscess)이 동반된 사례를 소개하고 있습니다.
.png)
환자는 9살 중성화 수컷 프렌치불독이며 내원 하루 전부터 시작된 급성 혀 부종과 식욕부진을 보였습니다.
신체검사 결과 혀가 전반적으로 부어 있고 단단한 상태였으며 입 밖으로 돌출된 모습이 확인 되었습니다.
또한 구강 검사에서는 혀뿌리 아래쪽 연부조직 종괴와 함께 혀 아래 점막의 충혈 및 상처가 관찰 되었습니다.
이 증례에서 주목할 부분은 크게 세 가지입니다.
.png)
첫째, CT 검사를 통해 병변의 형태와 범위를 확인했습니다.
급성으로 발생한 혀 부종과 종괴 소견을 바탕으로 알레르기 반응, 외상, 이물, 종양성 변화 등이 감별진단으로 고려되었고 이에 따라 CT 검사가 진행되었습니다.CT 결과 혀는 현저히 커져 있었으며 혀의 뿌리에서 몸통까지 이어지는 공동성 병변이 확인되었습니다.
또한 조영 후 영상에서는 rim enhancement가 관찰되어 설농양을 시사하는 소견으로 판단되었습니다.
둘째, 흡인 검사와 세균 배양검사를 통해 설농양을 진단했습니다
병변 부위에 대한 흡인 검사 후 흡인된 액체의 세포검사에서 퇴행성 호중구와 세포 내 세균이 확인되었고 이를 통해 설농양으로 진단하였습니다.
이어 시행한 세균 배양검사에서는 Neisseria animaloris가 동정되었으며 해당 균은 초기 치료에 사용된 항생제에 감수성을 보이는 것으로 확인되었습니다.
셋째, 수술 없이 내과적 치료만으로 호전되었습니다.
환자는 입원하여 수액 치료와 함께 dexamethasone, prednisolone 등의 항염증제와 amoxicillin-clavulanate, cefotaxime 등의 항생제 치료를 받았습니다.
혀 부종은 내원 다음 날부터 감소하기 시작했고 전반적인 상태도 함께 호전되었습니다.
3일째에는 혀 크기가 정상화되어 유동식을 시작할 수 있었고 이후 캔 식이로 전환되었습니다.
이후 환자는 안정된 상태로 퇴원하였으며,배양 결과에 따라 경구 항생제와 항염증 치료가 이어졌습니다.
논문에서는 내원 22일 후 치료를 종료했고 이후 재발은 보고되지 않았다고 기술하고 있습니다.
논문의 discussion에서는 이번 증례의 임상적 의미도 함께 설명하고 있습니다.
강아지의 대설증은 감염성, 자가면역성, 종양성, 외상성 등 다양한 원인에 의해 발생할 수 있으며 단순한 구강 검사만으로는 병변의 원인을 정확히 확인하기 어려운 경우가 있습니다.
저자들은 이러한 상황에서 영상검사가 도움이 될 수 있다고 언급하고 있으며 특히 이번 증례에서는 CT를 통해 병변의 위치와 특성을 확인하는 데 유용한 정보를 얻을 수 있었다고 정리하고 있습니다.
또한 저자들은 “To our knowledge, this is the first report of CT findings of a lingual abscess in a dog”라고 기술하고 있어 이번 논문이 개에서 발생한 설농양의 CT 소견을 보고한 첫 증례라는 점을 강조하고 있습니다.
아울러 과거 보고들에서는 설농양이 수술적으로 치료된 사례가 있었으나 이번 증례에서는 흡인과 약물치료만으로 호전되었고 수술적 개입이 필요하지 않았다는 점도 함께 언급됩니다.
이번 논문은 강아지에서 급성으로 나타나는 혀 부종의 원인 중 하나로 설농양을 고려할 수 있다는 점 그리고 CT 검사가 진단에 도움을 줄 수 있다는 점을 보여주는 증례입니다.
또한 이번 사례에서는 내과적 치료만으로도 호전을 보였다는 점에서 임상적으로 참고할 수 있는 내용을 담고 있습니다.
갑작스럽게 혀가 붓거나 식욕이 떨어지는 등의 변화가 보인다면 빠르게 진료를 통해 원인을 확인하는 것이 권장드립니다!
Re:born ANIMAL MEDICAL CENTER