강아지 초콜릿(테오브로민 카페인) - 탈수 교정, 독성 제거
- 관리자
- 작성일2025.12.18
- 조회수104
[본문 한 눈에 보기]
✅ 초코는 식탁 위 초콜릿을 섭취한 뒤 구토·설사와 함께 기력 저하가 나타나 초콜릿 중독으로 내원했습니다.
✅ 초콜릿의 ‘테오브로민’과 카페인 성분은 신경계 자극과 심장 문제를 유발하며 췌장염·간염 등의 합병증을 동반할 수 있습니다.
✅ 빠른 내원과 구토 유발, 수액·흡착제 치료로 독성 흡수를 최소화하며 관리했으며 초코는 4일간 입원 후 회복되었습니다!
.png)
초코는 초콜릿 중독으로 인해 내원한 환자입니다.
보호자님께서는 초코가 어제 저녁에 식탁 위에 있는 초콜릿을 먹은 후 구토와 설사를 하며 갑작스럽게 기력저하가 나타났다고 걱정하셨습니다.
개에서 초콜릿은 소화기 증상 뿐만 아니라 신경 증상까지 유발할 수 있는 독성 물질입니다.
초콜릿이 위험한 이유는 초콜릿에 들어있는 theobromine 성분은 개에서 분해되지 못하며 축적되면 심장에 문제를 일으킬 수 있습니다.
또한 카페인이나 과도한 지방이 함유 되어있어 장염, 췌장염 등을 유발할 수 있습니다.
개체마다 독성 반응은 다르게 나타날 수 있으며 일반적으로 알려진 독성 용량은 개, 고양이에서 20 mg/kg이상 섭취할 시 위장관 장애가 유발되어 침흘림, 구토, 설사, 마비성 장폐색, 복부팽만 등의 임상증상이 나타날 수 있습니다.
40 mg/kg 이상 섭취할시 초조, 빈맥 등의 증상 흥분성 신경증상과 60 mg/kg 이상 고용량으로 섭취할 시 떨림, 발작까지 나타날 수 있는 위험한 중독증입니다.
카페인만 함유되어 있는 경우 수분내에 증상이 나타나고 일반적인 초콜릿은 6~12시간 내에 증상이 나타나며 이로 인한 신경계 장애는 중추신경계 자극이나 교감신경계 자극 혹은 부교감신경계 억제 등 여러 기전에 의해 나타나며 주로 흥분성으로 증상이 나타납니다.
메틸잔틴 함량 (mg/g)
화이트 초콜릿: 0.04
밀크 초콜릿: 2.26
다크(세미스위트) 초콜릿: 5.65
무가당 초콜릿: 15.52
코코아 파우더: 28.47
중독증을 유발할 수 있는 물질을 섭취할시 독성 물질을 제거해주는 처치를 시행합니다.
독소가 체내로 흡수되는 것을 예방하고 흡수된 독소의 배설을 촉진하는 방식으로 시행됩니다.
임상증상이 없을 경우 첫번째로는 구토를 유발하여 보존적 치료가 진행합니다.
위에 남아있는 독성 물질을 제거하기 위해 사용하며 위 내용물의 최대 40~60%까지 제거할 수 있습니다.
섭취 후 30~90분 이내에 시도할 때 가장 효과적이며 따라서 중독 물질을 섭취할 경우 빠르게 병원에 내원하여 구토를 유발하는 것이 중요합니다.
만약 섭취한 독성물질이 부식성 물질일 경우에는 구토 유발이 금기되며, 물질마다 구토 성공 가능성은 다를 수 있다는 것을 유의해야합니다.
또한 수액 처치, 흡착제를 포함한 중독에 준한 처치가 함께 필요합니다.
초코는 내원 전에 수회 구토 이력이 있고 시간이 많이 지난 상황이기 때문에 본원에서 구토를 유발하지는 않았습니다.
하지만, 구토와 설사를 반복하면서 탈수가 나타난 상황이었으며 혈액검사상 간수치(빨간 박스), 췌장수치(파란 박스), 염증 수치(노란 박스) 상승이 확인되었습니다.
.png)
그림 1. 내원 당시 혈액검사 결과
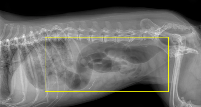
또한, x-ray상에서 위의 내용물이 다량 저류, 소장 확장이 동반된 상태였습니다.
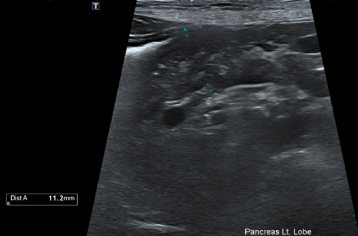
복부 초음파를 통해 복강 내 장기를 평가해본 결과 소장은 가스와 액체가 저류하여 운동성이 감소해 있었으며 췌장 실질이 비대되어 급성 췌장염 소견이 확인되고, 또한 급성 간염이 의심되는 상황이었습니다.
.png)
그림 2. 확장된 소장 분절
.png)
그림 3. 비대된 췌장 실질
.png)
초코는 입원 진행하여 수액 처치를 통해 탈수와 전해질을 교정하고 장염과 췌장염에 준한 처치와 항산화제 처방하며 소화기 증상을 모니터링 하였습니다.
또한 초콜릿 중독에서 가장 주의해야 하는 신경증상이 보이지 않는지 원내에서 철저한 모니터링을 진행하였습니다.
다행히, 초코는 입원하는 4일동안 빈맥이나 발작 등의 증상은 보이지 않았으며 입원 이틀만에 소화기 증상은 나타나지 않았습니다.
이후 식욕과 활력이 정상으로 회복되어 혈액검사를 다시 진행하였고 신장 수치는 정상이며 간수치 개선 확인
내원 당시보다 염증수치와 췌장 수치가 개선되고 있는 양상 확인 되었습니다.
.png)
그림 5. 혈액검사 개선 양상 확인
초코는 임상 증상이 소실되었으며 혈액검사상 수치 개선 양상이 확인되고 복부 초음파상에서도 위장관 운동성과 장염 개선, 췌장염 개선 소견 확인되어 퇴원을 진행하였고 통원치료로 전환하였습니다.
이후 보호자님께 가정내에서 증상이 다시 나타나지 않는지 계속 확인하시길 부탁드렸으며 앞으로 초콜릿 등 중독을 유발할 수 있는 물질을 섭취하지 않도록 강조 드렸습니다.
이물 섭취 환자는 같은 상황이 반복적으로 나타날 확률이 높습니다.
초콜릿 외에도 반려동물에게 위험성이 높은 물질은 섭취하지 못하도록 가정 내에서 주의 부탁드립니다.
Re:born ANIMAL MEDICAL CENTER