강아지 구토 치와와 급성 췌장염 - 수액,진통,항구토,저지방 식이요법
- 관리자
- 작성일2025.12.18
- 조회수170
[본문 한 눈에 보기]
✅ 하루 동안 반복된 구토와 식욕 부진으로 내원한 10살 치와와 ‘코코’는
검사 결과 급성 췌장염으로 진단되었습니다.
✅ 탈수 교정을 위한 수액치료와 진통, 항구토, 위장보호 관리 등
지속적인 지지요법으로 염증 수치가 점차 호전되었습니다.
✅ 본원에서 체계적인 입원 치료와 저지방 식이 조절을 통해
코코는 구토 없이 식욕과 활력을 회복하며 건강하게 퇴원했습니다.
10살 치와와 코코는 하루 동안 여러 차례 구토하고 밥을 거부해 병원에 내원했습니다.
보호자님께서는 “먹는 걸 거의 다 토하고, 배를 움츠리고 웅크리고 있다”고 하셨습니다.
‘코코’의 구토 원인을 찾기 위해 여러가지 검사를 진행하였습니다.
- 신체검사: 체온 39.8, 복부통증, 탈수 5%
- 혈액검사: qPL 2000< 상승, 간수치 미약한 상승
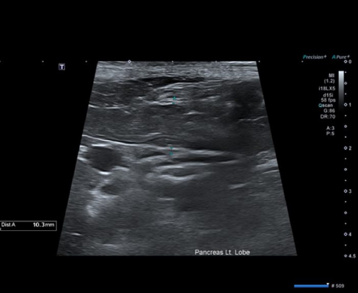
- 복부초음파
.png)
췌장의 실질은 저에코를 나타내고 있고 주변 지방은 에코가 상승되어 있습니다.
종합하였을 때 코코의 구토의 원인은 급성 췌장염으로 진단 되었습니다.
췌장염에 대한 입원 치료는 췌장이 스스로 염증을 가라앉히고 회복할 수 있도록 ‘몸을 지탱해주는 치료’ 즉 지지요법이 중요합니다.
- 수액요법: 탈수 및 전해질 불균형을 교정하고, 췌장으로 가는 혈류를 유지시켜 추가적인 손상을 방지합니다.
- 진통제: 췌장염은 심한 복통을 유발하므로 통증을 완화시키는 약물을 투약합니다.
- 항구토제, 위장관보호제: 구토가 반복될 경우 탈수와 전해질 불균형이 심화되기에 구토를 멈추고 위장관을 안정시킵니다.
- 항생제: 대부분 췌장염은 비감염성 질환이라 필수적이진 않지만, 패혈증 이나 위장관 장벽 손상으로 인한 세균 감염의 위험이 있을때 예방적으로 사용합니다.
- 영양 관리: 구토가 멎은 후 저지방 식이를 소량 급여합니다.
- 혈당, 전해질, 혈압 모니터링
입원 기간 동안 코코는 추가적인 구토나 설사 등 소화기 증상 없이 안정적인 회복 과정을 보였습니다.
.png)
반복적인 혈액검사에서도 qPL 수치가 점차 감소하는 양상을 보여 염증이 호전되고 있음을 확인할 수 있었습니다.
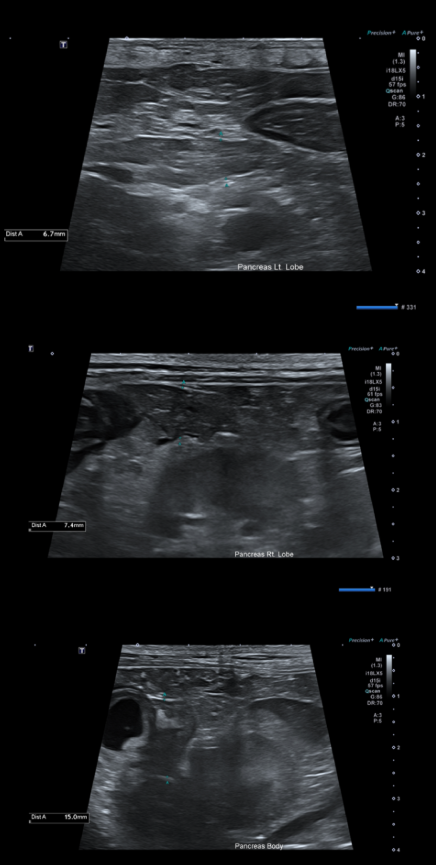
.png)
또한 복부 초음파 재검사에서 이전에 관찰되던 췌장 주변 지방의 고에코성 변화와 부종 소견이 개선되는 것으로 확인되었습니다.
이에 따라 식욕과 활력이 모두 회복된 상태로 치료를 마치고 코코는 무사히 보호자님의 품으로 돌아가 통원 치료로 전환하게 되었습니다.
강아지 췌장염 이란?
췌장은 음식을 소화시키는 효소와 혈당을 조절하는 호르몬(인슐린 등)을 만들어내는 중요한 기관입니다.
그런데 어떤 원인으로 인해 췌장에서 만들어진 소화 효소가 제때 분비되지 못하고 오히려 췌장 내부에서 ‘조기 활성화’되면 췌장이 자기 스스로를 소화하기 시작하면서 강한 염증 반응이 발생하게 됩니다.
이것이 바로 췌장염이며, 염증이 췌장 주변의 지방·간·담낭으로 확산되면 전신 염증 반응(SIRS)이나 쇼크로 이어질 수도 있는 위험한 질병입니다.
췌장염의 주요 원인과 위험 요인
|
구분 |
주요 요인 |
설명 |
|
식이성 요인 |
고지방 음식, 사람 음식 섭취, 급격한 식단 변화 |
가장 흔한 원인. 기름진 간식·고기류 섭취 후 발병 사례 다수 |
|
대사성 요인 |
고지혈증, 고칼슘혈증, 비만 |
슈나우저, 미니핀 등은 고지혈증 소인이 높음 |
|
약물 |
스테로이드, azathioprine 등 |
췌장 효소 활성화 또는 혈류 감소 유발 가능 |
|
내분비 질환 |
쿠싱증후군, 당뇨병, 갑상선기능저하증 |
대사 이상으로 췌장 부하 증가 |
|
기타 |
외상, 복부 수술 후, 허혈성 손상, 감염성 질환 |
드물지만 급성 췌장염의 촉발 요인 가능 |
특히, 치와와, 요크셔테리어, 미니어처 슈나우저, 푸들 같은 소형견에서 발병률이 높고, 중년-노령견 (7세 이상) 에서 잘 나타납니다.
앞서 입원 치료 과정에서 설명 드린 것처럼 췌장염의 회복에는 특별한 약보다 지속적인 지지요법과 세심한 모니터링이 가장 중요합니다.
입원 치료를 통해 안정적으로 회복되었다고 하더라도 췌장염은 재발률이 높고 생활 습관의 영향을 크게 받는 질환입니다.
따라서, 퇴원 후에는 재발을 막기 위한 관리와 예방이 치료의 연장선이라 할 수 있습니다.
01. 식이 관리 (가장 중요)
저지방 처방식을 지속적으로 급여해야 합니다.
(예: Hill’s i/d Low Fat, Royal Canin GI Low Fat 등)
사람 음식, 간식, 고기국물, 기름진 간식은 피하도록 합니다.
급여 횟수는 하루 3~4회로 나누어 한 번에 많이 먹지 않게 합니다.
02. 체중 및 대사 질환 관리
비만, 고지혈증, 내분비 질환이 있다면 반드시 함께 조절해야 합니다.
공복혈당, 콜레스테롤, 중성지방에 대해 주기적으로 모니터링이 필요합니다.
03. 정기검진
췌장효소 수치, 혈중 지질 수치 등을 치료 후 1개월, 3개월, 이후 6개월~1년 간격으로 정기적인 재검사와 영상 평가가 권장됩니다.
특히, 식욕 저하나 구토가 다시 나타난다면 즉시 재검사가 필요합니다.
04. 스트레스 관리
스트레스 호르몬은 소화관 운동을 억제하고, 췌장 내 혈류를 감소시켜 췌장염의 재발 가능성을 높입니다.
낯선 환경, 장시간 공복, 급격한 식단 변화, 과도한 운동 등도 피하는 것이 좋습니다.
췌장염은 한 번 회복하더라도 다시 찾아올 수 있는 질환이기 때문에 보호자님의 꾸준한 관리가 무엇보다 중요합니다.
식이와 생활습관, 정기적인 모니터링이 췌장을 지켜주는 가장 확실한 방법입니다.
작은 변화라도 미리 알아차리고 조기에 대응한다면 아이는 훨씬 더 오래 안정적인 상태를 유지할 수 있습니다.
본원은 췌장염의 진단부터 회복 그리고 재발 예방까지 전 과정에서 세심하게 함께하도록 하겠습니다.
감사합니다!
Re:born ANIMAL MEDICAL CENTER