강아지 빈혈 원인은 면역계 (IMHA, 스테로이드)
- 관리자
- 작성일2025.12.18
- 조회수165
.png)
[본문 한 눈에 보기]
✅ 갑작스러운 기력 저하와 짙은 소변색, 점막 창백 증상으로 내원하였습니다.
✅ 혈액검사와 도말검사, 감염성 빈혈 PCR 검사 배제를 통해 IMHA로 진단하고 수혈 및 면역억제 치료를 진행하였습니다.
✅ 반복 수혈과 면밀한 모니터링으로 안정화에 성공하였으며 현재는 통원 치료로 전환해 장기 관리 중입니다.
갑작스러운 빈혈, 원인은 면역계? IMHA 케이스 리뷰
6세 암컷 말티즈 미미는 갑작스럽게 기력이 떨어지고 소변 색이 진한 오렌지색(빌리루빈뇨)으로 변하며 점막이 창백해져 내원했습니다.
보호자님께서는 평소 외부구충은 잘 관리하고 있었으며 1주 전까지는 큰 문제 없이 잘 지냈지만 갑자기 식욕이 감소하고 기운이 없어져 걱정되어 병원을 찾으셨습니다.
미미는 내원 당시 전반적인 활력 저하와 점막 창백이 있었고 혈액검사 결과 심각한 빈혈이 확인되어 빈혈의 원인을 찾기위한 정밀 검사를 진행하였습니다.
• CBC 검사: 중등도~심한 재생성 빈혈
• 혈액도말: Spherocyte 다수, 응집(SAT) 양성
• Chemistry: Total bilirubin 상승
• 소변검사: 빌리루빈뇨 확인
정밀 검사 결과 개에서 나타나는 면역매개성 용혈성 빈혈이 강하게 의심되는 상황이었습니다.
.png)
Figure 1. 내원당시 혈액검사 결과 – 오른쪽
.png)
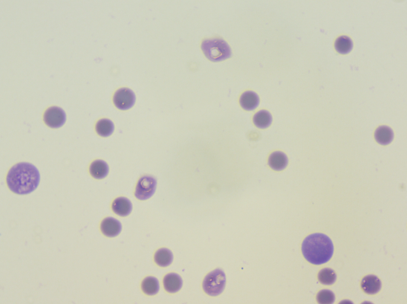
Figure 2. 혈액 도말상 확인되는 spherocyte.
Figure 3. 원내에서 확인된 빌리루빈뇨
.png)
Figure 4. PCR 검사 의뢰 결과
IMHA란 무엇인가요?
IMHA(Immune-mediated hemolytic anemia) 즉 면역 매개성 용혈성 빈혈은 자가 면역성 질환으로 면역계가 자신의 적혈구를 공격하여 파괴되는 심각한 빈혈 질환입니다.
그중에서도 primary IMHA는 감염, 종양, 약물 등 특정 자극에 의해 발생하는 경우를 모두 배제한 후에도 원인이 밝혀지지 않는 경우를 지칭합니다.
primary IMHA의 경우 모든 연령의 개에서 발생가능하며 평균 나이는 5~7살입니다.
코카 스파니엘, 닥스훈트, 푸들, 쉽독 등의 종에서 호발하며, 고양이의 경우 호발하는 품종은 확인되지 않습니다.
IMHA에서 주로 나타나는 임상증상
임상 증상의 정도는 용혈의 정도, 합병증, 기저 질환에 따라 달라집니다.
일반적인 증상은 빈혈, 식욕부진, 빌리루빈뇨, 황달 등이 나타납니다.
때때로 구토, 설사, 발열, 비장비대, 간비대가 나타날 수 있습니다.
고양이의 경우, 이식증이 나타나며 오랫동안 빈혈이 이어질 경우 2차적인 심근병증이 생길 수 있습니다.
IMHA 자체도 문제이지만 혈전이 잘 생기는 환경이 조성되면서 폐혈전색전증 (PTE) 발생시 예후 불량할 수 있습니다.
어떻게 치료하나요?
.png)
Figure 5. IMHA 치료 단계
IMHA로 진단이 된 후 치료는 1) 초기 치료 2) 유지 치료 및 재발과 합병증 예방 단계 3) 재발 관리로 3단계로 구분됩니다.
초기 치료에서는 우선 극심한 빈혈이 있는 환자의 경우 수혈이 필요합니다.
일반적으로 수혈은 임상 증상과 혈구검사상 빈혈의 정도, 빈혈이 진행되는 속도에 따라 결정됩니다.
치료는 스테로이드 약물로 시작하며 중증이거나 치료 반응이 부족한 경우 2차 면역억제제를 추가합니다.
개에서는 특히 혈전 예방이 중요하기 때문에 항응고제와 항혈소판제를 혈소판 수치를 모니터링 하면서 함께 사용합니다.
유지 치료 및 재발과 합병증 예방 단계에서는 빈혈 수치가 안정적으로 유지되고 임상증상이 잘 조절되는 환자에게 해당합니다.
이 단계에서는 약물의 용량을 줄여가며 너무 빨리 약물을 감량하면 재발 위험성이 크기 때문에 혈액검사 결과와 환자의 컨디션에 따라 아주 신중하게 진행합니다.
또한 이 기간 동안에는 장기간 스테로이드 복용으로 인한 위궤양과 출혈이 나타날 수 있으며 약물로 인한 요로 감염이 잘 발생하기 때문에 병원에 내원하여 소변검사를 주기적으로 진행하며 관리합니다.
그 다음은 재발 관리 단계입니다.
IMHA는 재발이 꽤나 흔한 질병이며 개에서는 최대 30%까지 재발됩니다.
이때 치료는 다시 prednisolone의 용량을 증량하며 다른 면역억제제와 병용하게 됩니다.
미미는 심한 빈혈을 나타내고 있었으며 원내에서 수혈 먼저 진행하였습니다.
.png)
Figure 6. 수혈 진행 후 혈액검사 결과 (왼쪽)
혈액검사 결과, 빈혈수치(HCT)은 14.2 -> 39.5로 상승되었습니다.
환자 안정화 후 면역억제제 치료를 시작했습니다.
스테로이드와 2차 면역억제제 치료를 함께 사용하였고, 이후 입원 진행하여 빈혈수치와 용혈 수치를 모니터링 진행하였습니다.
.png)
Figure 7. 이후 혈액검사 모니터링 결과
미미는 혈액검사를 매일 진행하였고 수혈이후 빈혈수치가 떨어진 것이 확인되었습니다.
이는 아직 용혈 반응이 뚜렷하게 나타난 결과로 면역억제 치료 시작 후 반응이 나타나기까지 1~2주 정도 소요될 수 있습니다.
따라서 우선 환자 안정화를 위해 2차 수혈을 시행하였고 이후 입원을 진행하였습니다.
.png)
Figure 8. 2차 수혈 후 혈액 검사 모니터링
2차 수혈 후 계속 입원 진행하였으며 빈혈 수치가 더 이상 떨어지지 않는 것 확인되었습니다.
따라서 미미는 퇴원진행하여 경구 약물과 통원치료로 전환하였고 보호자님께도 가정내에서 빌리루빈뇨, 기력저하, 점막 창백 등이 나타날시 재진 날짜가 아니더라도 병원에 내원하시기를 안내드렸습니다.
IMHA는 초기에 치료 반응이 어떤지 합병증이 발생하는지에 따라 예후가 많이 달라집니다.
Secondary IMHA처럼 기저 질환을 잘 치료하고 면역억제제를 중단할 수 있는 경우에는 예후가 비교적 좋은 편이지만 반대로 Primary IMHA는 개에서 24–52%까지 사망률이 보고될 만큼 심각한 질환입니다.
특히 진단 후 첫 1–2주 동안 혈전, DIC 같은 합병증으로 사망하는 경우가 많이 발견됩니다.
하지만 이 위급한 시기를 잘 넘기고 나면 한 연구에서 6개월 생존율이 약 73% 정도로 보고되었으며 그 이후에는 장기 관리와 재발 여부가 관건이 될 수 있습니다.
IMHA는 단기간에 끝나는 병이 아니라 몇 달 이상 길게 관리해야 하는 만성 면역질환에 가깝습니다.
초기에는 위급할 수 있지만 치료에 잘 반응하고 약을 서서히 잘 줄여 나가고 중간에 재발이 나타나지 않고 합병증이 잘 조절된다면 오랫동안 잘 살고있는 환자들도 많습니다.
따라서 보호자님께서 약을 임의로 중단하거나 용량을 줄이지 않으셔야 하고 갑자기 아이가 숨이 차 보이거나 잇몸이 더 창백해 보인다면 바로 병원으로 연락을 주셔야 합니다.
저희 병원에서는 정기적으로 혈액검사와 신체검사를 하면서 아이의 면역 상태와 혈전 위험성을 계속 확인할 예정이며 보호자님께서는 집에서 아이 컨디션과 호흡, 활동성, 소변 색 등을 잘 관찰해 주시는 것이 가장 큰 도움이 됩니다.
Re:born ANIMAL MEDICAL CENTER